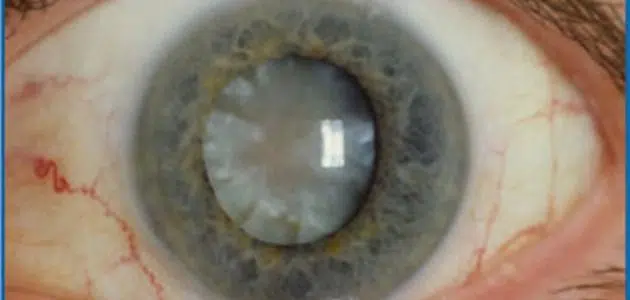
علاج المياه البيضاء في العين، المياه البيضاء مرض يصيب العين، ويجعل رؤيتها مشوشة لأنه يؤثر على عدسة العين، التي تكون طبيعتها شفافة وهي المسؤولة عن الرؤية بشكل صافي، ولكن إذا حدث انقطاع في العدسة تصبح مشوشة وذلك بسبب بفعل تفاعل البروتينات المكونة للعدسة مع السائل الموجود في العين، فيتكون هذا اللون الأبيض الذي يكون علامة على العين، ويأثر بها المريض جدًا لأنها تسبب له مضاعفات كثيره، وفي هذا المقال سنساعدك على معرفة علاج لها.
أسبابها المياه البيضاء في العين
- كبر السن، فهي تأتي كثيرًا في كبار السن، لأن عوامل تقدم السن قد تؤثر على العين وتسبب اضرارا للعدسة مما يجعلها عرضة لمرض المياه البيضاء.
- مريض السكر ايضًا عرضة لمرض المياة البيضاء.
- ارتفاع ضغط العين.
- اصابة العين بكدمة شديدة أو بآلة حادة.
- قد يصاب بها الطفل نتيجة لعيب خلقي أو تناول الام ادوية مضرة اثناء حملها.
تناول الكورتيزون بكميات كبيرة، يسبب تناول كمية كبيرة من الكورتيزون تجمع مياه بيضاء على العين.
أعراضها المياه البيضاء في العين
- المصابون بمرض المياه البيضاء يشتكون دائما من وجود زغللة في الرؤية وعدم تمييز الألوان ينتج عنه صداع شديدجدًا لا يمكن تحمله، حتى بعد ارتداء النظارة الطبية.
تشخيص المياه البيضاء في العين
- يعتقد البعض أنه يمكن تشخيص الأمراض عن طريق قياس النظر ولكن في الحقيقه لا يتم تشخيصها من خلال قياس النظر، ولكن لابد من عمل فحص قاع العين لرؤية كل تفاصيل العين والعدسة وعندها يظهر عتامة بيضاء تحجب الرؤية عند المصاب.
مضاعفاتها المياه البيضاء في العين
- لا يجب إهمال هذا المرض، لأن إهمالها يؤدي إلى فقدان النظر، لأنه يسبب ارتفاع ضغط العين مما يسبب تدمير العصب البصري، ويؤدي إلى فقدان النظر.
علاج المياه البيضاء في العين
- لا يوجد علاج المياه البيضاء بقطرة أو المراهم ولا يمكن أن يعالج مرض المياه البيضاء الذي يصيب العين إلا من خلال إجراء عملية جراحية يخضع لها الإنسان تحت إشراف طبيب متخصص، وذلك من خلال الموجات الصوتية أو عن طريق استخدام الليزر.
- تقنية الموجات الصوتية تكون عبارة عن آلة تشبه القلم يتم عمل فتحة بواسطة هذه الآلة ويتم من خلالها تفتيت العدسة وسحبها بواسطة هذه الآلة ايضًا، ثم يتم زرع عدسة جديدة.
- أما تقنية الليزر ويتم فيها استخدام تقنية الفيمتو سكند ليزر مع استخدام الموجات الصوتية، وتستخدم تلك التقنية في عمل فتحة دقيقة في سطح العين، ثم تفتت العدسة بواسطة الجهاز المستخدم والذي يعمل بتقنية الموجات الصوتية، ثم يتم شفطها بواسطة هذا الجهاز ايضًا، ثم يتم زراعة العدسة الجديدة.
ومن هنا نكون قد ختمنا معكم مقالنا عن علاج المياه البيضاء في العين ونرجو أن يكون المقال قد نال إعجابكم لا تنسو لايك وشير لتعم الفائدة على الجميع.
